
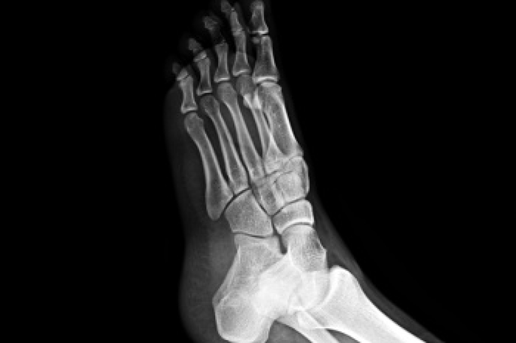
Metatarsal bone fractures occur when one of the long bones in the middle of the foot breaks, often from trauma, overuse, or a sudden twist. These fractures can be open, where the bone pierces the skin, or closed, where the skin remains intact. They may also be displaced, meaning the bone pieces are out of alignment, or nondisplaced, where the bone remains properly aligned. A podiatrist can assess the injury through examination and imaging, provide proper immobilization, and recommend treatment to promote healing and prevent long-term complications. Early diagnosis is vital to restoring foot function and mobility. If you have foot pain or feel you may have broken a bone, it is suggested that you promptly visit a podiatrist who can accurately diagnose and treat what is going on.
A broken foot requires immediate medical attention and treatment. If you need your feet checked, contact Gregory Kranzusch, DPM from Foot and Ankle Center of St. Charles County. Our doctors can provide the care you need to keep you pain-free and on your feet.
Broken Foot Causes, Symptoms, and Treatment
A broken foot is caused by one of the bones in the foot typically breaking when bended, crushed, or stretched beyond its natural capabilities. Usually the location of the fracture indicates how the break occurred, whether it was through an object, fall, or any other type of injury.
Common Symptoms of Broken Feet:
- Bruising
- Pain
- Redness
- Swelling
- Blue in color
- Numbness
- Cold
- Misshapen
- Cuts
- Deformities
Those that suspect they have a broken foot shoot seek urgent medical attention where a medical professional could diagnose the severity.
Treatment for broken bones varies depending on the cause, severity and location. Some will require the use of splints, casts or crutches while others could even involve surgery to repair the broken bones. Personal care includes the use of ice and keeping the foot stabilized and elevated.
If you have any questions, please feel free to contact our office located in St. Charles, MO . We offer the newest diagnostic and treatment technologies for all your foot care needs.



